Bafo do capeta! Mau hálito e tártaro somem com 3 receitas infalíveis

Mau hálito é coisa que ninguém merece ter ou sentir, mas há maneiras mais simples do que se pensa para evitar esse constrangimento

Foto de Redação ND

Redação ND Florianópolis

Receba as principais notícias no WhatsApp

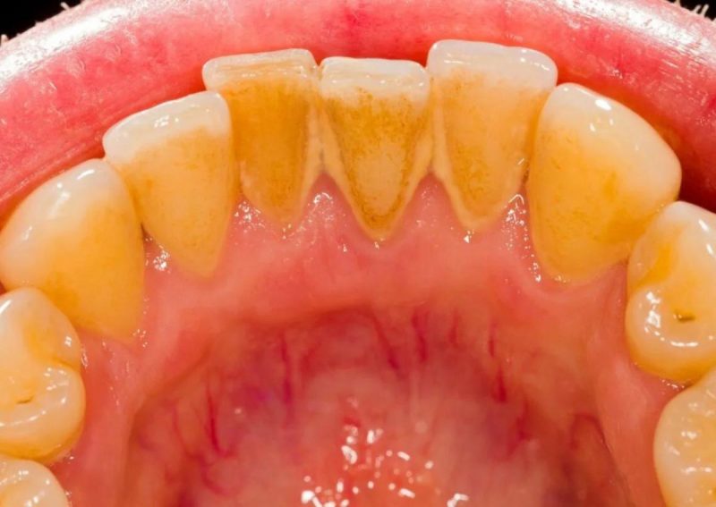
Mau hálito é algo constrangedor. Muitas vezes o próprio portador não percebe, passando assim por situações complicadas. O mesmo acontece com o tártaro, ou demais problemas bucais.

Mau hálito muitas vezes é causado por formação de tártaroMau hálito muitas vezes é causado por formação de tártaro – Foto: Reprodução

A saúde começa pela boca, portanto, é importante cuidar dessa parte do corpo. Esse é o motivo do vídeo abaixo, feito pela Dra. Anamaria Chiaverini, cirurgiã-dentista.

Mau hálito e tártaro

De acordo com a especialista, o tártaro é uma das principais causas do mau hálito. Dra. Anamaria, que também a chef em gastronomia funcional, mostra algumas soluções.

Faça como milhões de leitores informados: siga o ND Mais no Google. Seguir

São 3 receitas em um só vídeo. Todas direcionadas ao combate do mau hálito, em nome da boa saúde bucal. Ela salienta que, de forma alguma isso substitui a visita ao dentista. Mas ajuda muito em casa.

“Importante que não seja feita a substituição dos ingredientes ou alteração das quantidades. Isso prejudicar o paciente”, acrescenta Dra. Anamaria Chiaverini. Por essas e outras, ela faz muito sucesso nas redes, sobretudo em seu canal no Youtube.

Tópicos relacionados