FOTOS: fragata com haste de metal no estômago passa por cirurgia após ser resgatada em SC

Ave encontrada em Penha e submetida a procedimento cirúrgico com a equipe da R3 Animal segue em recuperação em Florianópolis

Receba as principais notícias no WhatsApp

Uma fragata resgatada por um navio pesqueiro no dia 26 de maio e encaminhado para a R3 Animal, em Penha, foi submetida a uma cirurgia para a retirada de uma haste metálica de 10 cm alojada no estômago na última quarta-feira (9).

O objeto, um encastoador de pesca, usado em anzóis, perfurou a pele do animal e estava projetado para fora do corpo. Segundo a equipe veterinária, o animal está bem e em observação em Florianópolis.

Antes do procedimento, a ave foi anestesiada e passou por uma endoscopia para ajudar no planejamento da extração da haste. De acordo com a avaliação prévia da veterinária Janaina Rocha Lorenço, o objeto estava dentro da cavidade gástrica, com uma ampla área contaminada.

Segundo o veterinário Sandro Sandri, a cirurgia de celiotomia – incisão através da parede abdominal, que concede acesso à cavidade abdominal,  foi orientada por alguns artigos de literatura específica.

“Seguimos o caminho inverso ao que p objeto havia feito. Ou seja, ultrapassar todas as camadas: pele, subcutâneo, mucosa externa, parede muscular e mucosa interna do estômago. O fechamento do estômago foi feito em três camadas com fio biológico e suturas apropriadas para promover a vedação do órgão e evitar aderências futuras”, conclui Sandro.

  • 1 de 7
    Fragata foi resgatada por uma embarcação pesqueira, no dia 26 de maio, e entregue na Unidade de Estabilização de Animais Marinhos – em Penha
    Fragata foi resgatada por uma embarcação pesqueira, no dia 26 de maio, e entregue na Unidade de Estabilização de Animais Marinhos – em Penha
  • 2 de 7
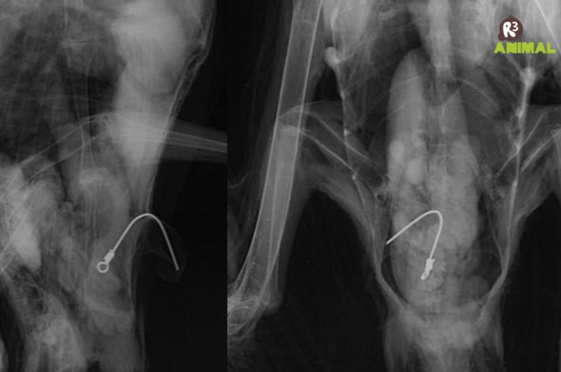
    Ave passou seis dias em processo de estabilização. O exame radiográfico constatou que a haste metálica, de aproximadamente 10 centímetros, tratava-se de um apetrecho de pesca chamado de “encastoador”, um empate para anzol, utilizado para evitar o rompimento de linhas de pesca. Naquele momento, parte da haste que estava para fora da ave foi cortada para prevenir lesões. – Foto: Nilson Coelho/R3 Animal
    Ave passou seis dias em processo de estabilização. O exame radiográfico constatou que a haste metálica, de aproximadamente 10 centímetros, tratava-se de um apetrecho de pesca chamado de “encastoador”, um empate para anzol, utilizado para evitar o rompimento de linhas de pesca. Naquele momento, parte da haste que estava para fora da ave foi cortada para prevenir lesões. – Foto: Nilson Coelho/R3 Animal
  • 3 de 7
    Haste metálica encontrada no animal – Foto: R3/Divulgação
    Haste metálica encontrada no animal – Foto: R3/Divulgação
  • 4 de 7
    No dia 1° de junho, a fragata foi encaminhada para reabilitação na R3 Animal, em Florianópolis. A ave precisou continuar estabilizada para poder passar pelo delicado procedimento cirúrgico que faria a retirada do objeto metálico – Foto: Nilson Coelho/R3 Animal
    No dia 1° de junho, a fragata foi encaminhada para reabilitação na R3 Animal, em Florianópolis. A ave precisou continuar estabilizada para poder passar pelo delicado procedimento cirúrgico que faria a retirada do objeto metálico – Foto: Nilson Coelho/R3 Animal
  • 5 de 7
    A fragata recebeu reposição alimentar, suplementação injetável e protetores gástricos, além de analgésicos para controle da dor e antibiótico para evitar contaminação pela perfuração – Foto: Nilson Coelho/R3 Animal
    A fragata recebeu reposição alimentar, suplementação injetável e protetores gástricos, além de analgésicos para controle da dor e antibiótico para evitar contaminação pela perfuração – Foto: Nilson Coelho/R3 Animal
  • 6 de 7
    Durante todo o período, a fragata foi alimentada apenas com papa de peixe, recebendo suplementação e alimentação parenteral (intravenosa) até estar apta a receber alimentação oral novamente – Foto: Nilson Coelho/R3 Animal
    Durante todo o período, a fragata foi alimentada apenas com papa de peixe, recebendo suplementação e alimentação parenteral (intravenosa) até estar apta a receber alimentação oral novamente – Foto: Nilson Coelho/R3 Animal
  • 7 de 7
    Fragata na sala de estabilização – Foto: Nilson Coelho/R3 Animal
    Fragata na sala de estabilização – Foto: Nilson Coelho/R3 Animal

Tópicos relacionados