Conteúdo especial

Gengivas aparentes? Saiba quais são os tratamentos mais atualizados

Cirurgiã detalha causas e tratamentos para gengivas que aparecem demais

Conteúdo Especial, Branded Studio ND Florianópolis

Receba as principais notícias no WhatsApp
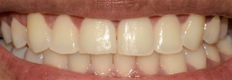
Sorriso solto e alegre, sem gengivas aparentes – Foto: DivulgaçãoSorriso solto e alegre, sem gengivas aparentes – Foto: Divulgação

Com frequência, pacientes reclamam da aparência de suas gengivas no sorriso. A pergunta é: isto tem solução? E a boa notícia é que sim, existem maneiras de solucionar o problema do sorriso gengival.

Quem explica é a Dra. Madalena Dias Engler, cirurgiã-dentista e mestre em implantodontia.

“Algumas queixas estão ligadas à quantidade de gengiva que é exibida durante o sorriso, outras já estão mais ligadas ao desenho gengival (contorno), que às vezes varia entre os dentes, deixando-os com tamanhos irregulares”, diz.

A especialista conta que o primeiro passo é identificar o problema:

“Se a queixa for exposição demasiada, temos que descobrir a causa”. As causas podem ser excesso de tecido gengival recobrindo os dentes, elevação exagerada do lábio ao sorrir, ou a presença de uma maxila (osso que abriga os dentes superiores) de tamanho vertical aumentado. Neste último, é possível perceber também um alongamento do terço inferior da face ao mesmo tempo da exposição exagerada de gengiva no sorriso.

Tratamentos de acordo com cada causa

Segundo a Dra. Madalena, os tratamentos vão ser definidos de acordo com a causa. No caso da maxila aumentada, ele será é orto-cirúrgico e deve ser realizado por um cirurgião bucomaxilofacial.

Quando a causa é a elevação exagerada do lábio ao sorrir, pode ser tratada com procedimentos de Harmonização Orofacial, que amenizarão a movimentação do lábio e reduzirão a exposição gengival ao sorrir. “Na nossa clínica, a Dra. Evelyn Rotolo é a mais habilitada para intervir quando essa é a indicação”, indica Dra. Madalena.

Por fim, a presença de gengiva expessa/exagerada sobre os dentes pode ser solucionada por meio de um procedimento cirúrgico popularmente conhecido como gengivoplastia (remoção/plastia da gengiva), mas que é na verdade, um aumento de coroa clínica.

“Na cirurgia de aumento de coroa clínica, como o nome já mostra, o que fazemos é aumentar o tamanho da coroa do dente (coroa clínica é que a aparece na boca) executando tanto uma remoção do tecido gengival em si, quanto um recontorno das margens ósseas ao redor dos dentes para que não haja a recidiva depois da cicatrização, ou seja, para que a gengiva não “cresça” novamente e cubra parte dos dentes”, explica a cirurgiã-dentista.

Maioria dos casos exige remoção de gengiva

A maioria dos casos de queixa de sorriso gengival é relacionada à quantidade de gengiva e podem ser solucionadas através deste procedimento cirúrgico.

“As fotos mostram casos que operei, onde executei não somente remoção gengival, mas também plastia óssea e recontorno das margens para corrigir irregularidades de formato entre os dentes”, conta.

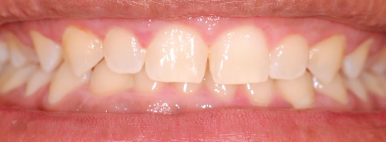
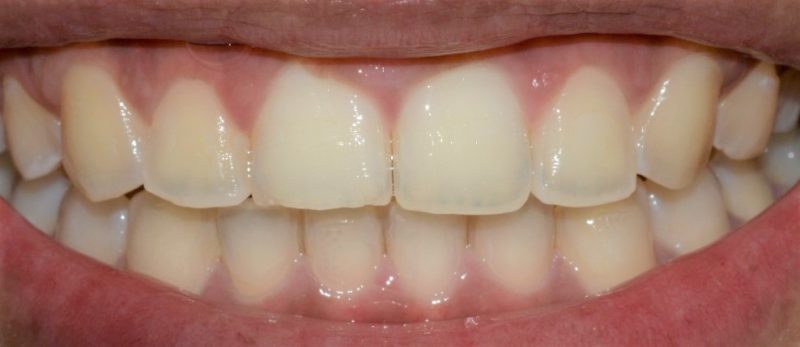
Caso 1 – Antes e depois

Caso 1 – Antes da cirurgia gengival – Foto: Divulgação Bianchini OdontologiaCaso 1 – Antes da cirurgia gengival – Foto: Divulgação Bianchini Odontologia
Caso 1 – Depois da cirurgia gengival – Foto: Divulgação Bianchini OdontologiaCaso 1 – Depois da cirurgia gengival – Foto: Divulgação Bianchini Odontologia

Caso 2 – Antes e depois

Caso 2 – Antes da cirurgia gengival – Foto: Divulgação Bianchini OdontologiaCaso 2 – Antes da cirurgia gengival – Foto: Divulgação Bianchini Odontologia
Caso 2 – Depois da cirurgia gengival – Foto: Divulgação Bianchini OdontologiaCaso 2 – Depois da cirurgia gengival – Foto: Divulgação Bianchini Odontologia

Escolha os melhores profissionais

Dra. Madalena lembra que a avaliação correta da causa e tratamento do sorriso gengival será feita por meio de uma consulta inicial bem executada, fotos e exames complementares (radiografias e tomografia).

Além disso, se for desejo do paciente fazer também procedimentos restauradores estéticos nos seus dentes, deverá se submeter à cirurgia primeiramente e aguardar o tempo de cicatrização (em torno de 90 dias) para posteriormente realizar os demais procedimentos.

E você? Sente-se confortável com seu sorriso? Se essa matéria lhe chamou a atenção e deseja saber mais sobre o assunto, a equipe da Bianchini Odontologia está à disposição para seu atendimento.

BIANCHINI ODONTOLOGIA

  • Dra. Madalena Dias Engler CRO/SC 13875 – Cirurgiã-Dentista – Mestre em Implantodontia
  • Av. Trompowsky – 291 – Edifício Trompowsky Corporate – Torre 1 – Sala 103. Centro – Florianópolis/SC

Entre em contato

  • (48) 3223.3083
  • (48) 9961-5530 (WhatsApp)
  • contato@bianchiniodontologia.com
  • facebook.com/bianchiniodontologia
  • @madaengler
  • Segunda a sexta-feira, das 8h às 18h.

Tópicos relacionados