Homem fica entre a vida e a morte após ser infectado por ‘bactéria da 1ª Guerra Mundial’

Sueco, de 64 anos, teria contraído bactéria enquanto praticava jardinagem e passou quatro meses no hospital para tratamento

R7 São Paulo

Receba as principais notícias no WhatsApp

Um sueco, de 64 anos, contraiu uma bactéria enquanto praticava jardinagem e perdeu parte dos músculos das pernas e das costas. O caso foi reportado no periódico IJSCR (International Journal of Surgery Case Reports) e mostra que a infecção pela bactéria Clostridium septicum que, se não for tratada, pode levar à morte.

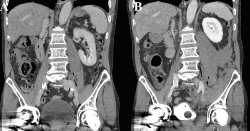
Exame de imagem mostra o acúmulo de líquidos e gases na área infectada – Foto: Science Direct/Reprodução/NDExame de imagem mostra o acúmulo de líquidos e gases na área infectada – Foto: Science Direct/Reprodução/ND

As infecções pelas bactérias do gênero Clostridium são conhecidas por gerar gangrenas gasosas, quadro desenvolvido pelo paciente e que, segundo o Brazilian Journal of Otorhinolaryngology, o diagnóstico foi a principal causa de mortes de feridos durante a Primeira Guerra Mundial.

Conforme o tabloide britânico Daily Mail, os médicos que atenderam o caso suspeitam que o homem tenha sido infectado a partir de um corte acidental em arame farpado, mas consideram, também, a possibilidade de a bactéria ter se infiltrado no organismo por uma ferida psoriásica do paciente.

Faça como milhões de leitores informados: siga o ND Mais no Google. Seguir

Após sentir febre e dores no lado esquerdo do corpo por oito horas, o homem procurou assistência médica. Ao chegar ao hospital, foi constatado que ele apresentava batimentos cardíacos e respiração alterados, além de extrema sensibilidade no lado afetado de seu corpo durante o exame físico.

Gangrena gasosa

Segundo o Manual MSD, a gangrena gasosa é um quadro caracterizado pela formação de bolças de gás, produzido pela bactéria, na área infectada. O quadro é acompanhado por febre, frequência cardíaca e respiratória aceleradas, e dor local.

O diagnóstico exige exames de imagem ou cultura e uma amostra obtida do tecido infectado, e o tratamento é feito com altas doses de antibióticos, além da remoção do músculo atingido e/ou morto.

Entre a vida e a morte por 135 dias

Após constatado que o homem não passara por nenhum trauma, os médicos o encaminharam para uma TC (tomografia computadorizada), que detectou fluídos e gás ao redor de um músculo que conecta as costas e as pernas.

Antes de ser submetido a alguma cirurgia, os responsáveis decidiram medicá-lo com antibióticos e observar, sendo levado para outra TC depois de duas horas e meia. O segundo exame mostrou uma piora dos sinais vitais e um aumento dos gases e fluídos no local infectado.

Nesta ocasião, o paciente sueco necessitou de seis cirurgias para a retirada total das áreas afetadas, além de um longo período de permanência na UTI Hospital Vrinnevi, em Norrköping.

Entre as operações, os médicos optaram por não fechar a ferida, de modo a combater a bactéria pelo contato com o oxigênio, que seria tóxico e regrediria os avanços da infecção.

Durante os 135 dias em que esteve internado no hospital, o homem sofreu uma parada cardíaca e um vazamento interno em um dos tubos que levam a urina do rim para a bexiga.

O paciente foi liberado, mas encaminhado para um lar de cuidados a idosos, pois só conseguiu andar, com ajuda, 20 metros ao tentar voltar para casa.

Tópicos relacionados