Mulher com sintomas de tuberculose tinha camisinha no pulmão

Professora de 27 anos ficou cerca de seis meses com tosse e febre até passar por cirurgia para remover o preservativo

Redação ND Florianópolis

Receba as principais notícias no WhatsApp

Uma professora de 27 anos, na Índia, foi hospitalizada com suspeita de tuberculose. No entanto, os médicos constataram que ela tinha, na verdade, inalado uma camisinha durante relação sexual com o marido. As informações são do UOL.

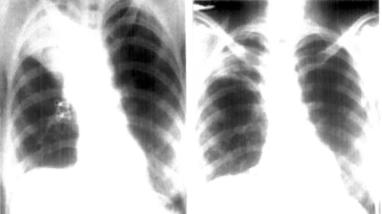
Camisinha foi encontrada em pulmão de professora de 27 anos, na Índia – Foto: Reprodução/C. L. Arya, R. Gupta, V. Arora/Semantic ScholarCamisinha foi encontrada em pulmão de professora de 27 anos, na Índia – Foto: Reprodução/C. L. Arya, R. Gupta, V. Arora/Semantic Scholar

O incidente foi publicado em um estudo no jornal científico da National Library of Medicine. Conforme a pesquisa, a mulher se queixou de tosse, febre e acúmulo de muco havia cerca de dois meses. A paciente chegou a ser tratada para tuberculose. Como os sintomas não cessaram, ela retornou ao hospital após quatro meses.

Depois de exames para confirmar a doença, os médicos perceberam que havia uma lesão em um lobo pulmonar superior da professora, resultado da inalação do preservativo. O teste para tuberculose deu negativo. Assim, os especialistas examinarem o tórax da paciente e notaram “estrutura semelhante a uma bolsa invertida ‘parada’ no brônquio”.

Faça como milhões de leitores informados: siga o ND Mais no Google. Seguir

A mulher passou por uma cirurgia para retirar o objeto estranho. Apenas durante o procedimento perceberam que se tratava de um preservativo. Ao ser questionada sobre o assunto, ela lembrou de uma vez que havia feito sexo oral no companheiro. Segundo os especialista, “o casal poderia ter se lembrado que a camisinha se soltou durante o ato”.

Apesar de a cirurgia ter dado certo, alguns pedaços do material do preservativo ficaram presos ao pulmão da paciente. Conforme os médicos, a professora deve se recuperar totalmente, mas ainda deve ser reexaminada e passar por outros procedimentos.

Tópicos relacionados