Mulher tem síndrome incomum durante orgasmo e é levada às pressas para o hospital

Vazamento na aorta aconteceu durante ato sexual e caso é “potencialmente fatal”, explicam médicos

Foto de Redação ND

Redação ND Joinville

Receba as principais notícias no WhatsApp

Uma relação sexual terminou em graves complicações de saúde para uma moradora de Hattiesburg, Misssissippi, Estados Unidos. A mulher de 45 anos sofreu um vazamento na aorta durante o orgasmo e precisou ser levada às pressas para o hospital.

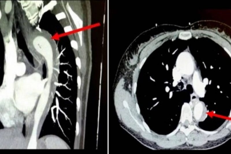
Caso é considerado incomum e pode ser fatal – Foto: Reprodução/InternetCaso é considerado incomum e pode ser fatal – Foto: Reprodução/Internet

Segundo o relato dela aos funcionários do hospital, a mulher teve as pernas pressionadas contra o peito durante o orgasmo e sentiu um “estalo” seguido de um calor intenso nas costas, sentindo mal-estar e falta de ar. Questionada, ela classificou a dor como 10/10.

Os médicos descobriram que a mulher teve uma AAS (Síndrome Aórtica Aguda), um espectro de condições potencialmente fatais. Eles descobriram um vazamento na aorta, artéria que transporta sangue pelo corpo.

Faça como milhões de leitores informados: siga o ND Mais no Google. Seguir

Os cientistas afirmaram que o quadro ser causada pelo sexo é comum. “Nosso caso é incomum, pois nossa paciente era uma mulher, que representa uma proporção menor de casos de AAS, e ela estava tendo relações sexuais consensuais com o marido. No entanto, ela tinha fatores de risco basais, incluindo hipertensão não controlada e histórico de abuso de tabaco”, disseram.

Tópicos relacionados