O que é divertículo gigante, doença raríssima descoberta no RJ com apenas 200 casos no mundo?

Estudo científico mostra descoberta intrigante na área da saúde que reforça o que é o divertículo gigante e a sua presença, apesar de rara, no mundo

Foto de Ana Schoeller

Ana Schoeller Florianópolis

Receba as principais notícias no WhatsApp

Um homem de 62 anos passou por uma cirurgia após os médicos diagnosticarem uma doença raríssima no Rio de Janeiro. Chamada de divertículo gigante, trata-se de uma condição extremamente rara, com menos de 200 casos documentados em todo o mundo.

O que é divertículo gigante, doença raríssima descoberta no RJ com apenas 200 casos no mundo?Divertículo gigante foi identificado no Rio de Janeiro – Foto: Reprodução/Hospital Salgado Filho/ND

A informação foi confirmada online pelo Hospital Municipal Salgado Filho, onde o paciente foi internado. O homem procurou a emergência do local devido a dores abdominais e perda de peso.

No entanto, os problemas persistiram por dois meses até que a descoberta foi feita, levando à realização da cirurgia.

Faça como milhões de leitores informados: siga o ND Mais no Google. Seguir

O caso foi apresentado em um artigo publicado na revista científica “European Surgery — Acta Chirurgica Austriaca” e discutido durante o 17° Congresso Europeu Colorretal, ocorrido em dezembro na cidade de St. Gallen, na Suíça.

O que é divertículo gigante?

O Divertículo Gigante é uma condição anômala caracterizada pelo aumento excessivo do tamanho de bolsas ou saquinhos que se desenvolvem na parede de determinados órgãos, como, por exemplo, o intestino. Essa dilatação ocorre devido à pressão elevada no interior desses órgãos.

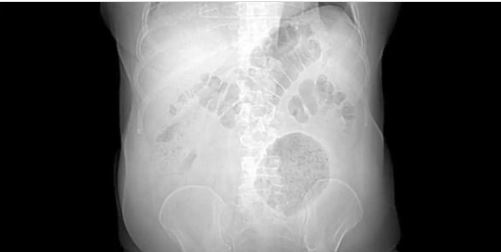
Conforme informações divulgadas pelo Hospital Municipal Salgado Filho, a formação inflamatória identificada no paciente apresentava dimensões extraordinárias, medindo 13 x 12 x 10 cm na região abdominal. Em comparação, os divertículos comuns costumam ter entre 4 e 9 cm de diâmetro.

Na publicação do estudo o médico Alexandre Fiuza, um dos autores do estudo e responsável pela cirurgia do paciente, conta que no primeiro exame clínico realizado na emergência, identificou-se a presença de uma massa flácida, palpável e dolorosa no flanco esquerdo do abdome.

Ao analisar os resultados da tomografia computadorizada, os médicos se viram surpresos com as dimensões da inflamação.

Uma semana após, a cirurgia de laparotomia exploradora (abertura de uma parte do abdômen para verificar lesões) confirmou a presença da massa inflamatória na parede abdominal e no cólon sigmoide, localizado na porção final do intestino grosso.

Os médicos informaram que o paciente teve uma recuperação tranquila e recebeu alta quatro dias depois.

Tópicos relacionados