Conteúdo especial

Os desafios que a pandemia trouxe para a odontologia

Clínica realiza tratamento de paciente de 93 anos com sucesso, mas atrasos por medo da pandemia de Covid-19 preocupam profissionais

Conteúdo Especial, Branded Studio ND Florianópolis

Receba as principais notícias no WhatsApp
Pandemia afastou pacientes de tratamentos e casos pioram – Foto: DivulgaçãoPandemia afastou pacientes de tratamentos e casos pioram – Foto: Divulgação

Em muitas áreas da saúde a pandemia do coronavírus atrasou tratamentos importantes e praticamente paralisou muitos processos de diagnóstico e recuperação de pacientes.

Na odontologia não foi diferente. Implantodontistas preocupam-se com pacientes que ficaram em casa por ter comorbidades, ou mesmo, por medo de infecção pela Covid-19.

E já são quase dois anos. Conta o Dr. Marco Aurélio Bianchini, Periodontista e Implantodontista, que muitos pacientes que iniciaram seus tratamentos com implantes em 2019 ou nos meses anteriores à pandemia de 2020 (janeiro, fevereiro e até mesmo março), já poderiam ter concluído os seus tratamentos e colocado suas próteses definitivas.

Entretanto, devido às restrições impostas pela Covid-19, estes tratamentos foram interrompidos ou até mesmo não realizados.

Algumas pessoas ainda não se sentem confortáveis e seguras para tratamentos

Embora a pandemia pareça estar diminuindo a sua intensidade, após a intensa vacinação dos brasileiros e a cura de muitos outros que contraíram a doença, algumas pessoas ainda não se sentem confortáveis ou seguras de retomar os tratamentos odontológicos e continuam na espera, até que a pandemia se acabe por completo.

São pacientes que pertencem aos grupos considerados ‘de risco’ ou até mesmo aqueles que não estão dentro destes grupos, mas não querem sair de casa de jeito nenhum.

“Dentro deste contexto, estes pacientes ligam para nós e nos perguntam se é possível esperar mais um pouco, se vai prejudicar o tratamento, etc. O que fazer nestas situações?”, questiona Dr. Bianchini.

O especialista afirma que cada caso deve ser avaliado individualmente. “Pacientes que realmente se enquadram nos grupos de forte risco a contrair a Covid-19 e que não estão tendo a sua mastigação prejudicada, talvez possam aguardar mais um pouco para realizar maiores tratamentos”, considera Dr. Bianchini.

Contudo, existem casos que os pacientes são desdentados totais e estavam com dificuldades de mastigação, especialmente aqueles portadores de próteses totais com problemas de retenção ou com dentes condenados, gerando um perigoso processo infeccioso.

“Estes pacientes nos procuram por uma questão de saúde e não estética. Geralmente são idosos, com cuidadores e já algumas dificuldades de alimentação. Postergar o tratamento para estes pacientes seria o melhor caminho?”, questiona.

Um caso que ilustra uma situação comum da atualidade

A Bianchini Odontologia teve um caso emblemático, que ilustra bem esta situação, que está se tornando cada vez mais comum nesta época de quase pós-pandemia.

“Um paciente de 93 anos estava com sérias dificuldades de mastigação, devido à condição precária dos seus poucos dentes, que ainda lhe restavam na boca. Ele nos procurou em 2019, mas devido à pandemia, postergou o seu tratamento até o final de 2020, sendo concluído apenas em 2021.”

  • 1 de 2
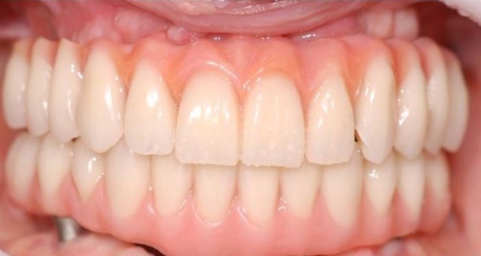
    Paciente recebeu próteses nas arcadas superior e inferior - Divulgação Bianchini Odontologia
    Paciente recebeu próteses nas arcadas superior e inferior - Divulgação Bianchini Odontologia
  • 2 de 2
    Paciente de 93 anos antes do tratamento, em 2020 - Divulgação Bianchini Odontologia
    Paciente de 93 anos antes do tratamento, em 2020 - Divulgação Bianchini Odontologia

A condição clínica inicial do paciente de 93 anos, antes da pandemia, era de uma destruição dos dentes remanescentes e de urgência do tratamento odontológico.

Apesar da idade avançada, este paciente não possuía nenhuma outra comorbidade que aumentasse o seu risco de infecção pela Covid-19.

“O risco maior era realmente a idade avançada. Entretanto, o seu estado de saúde geral era muito bom, com todos os exames e laudos médicos confirmando o quadro estável. O maior problema deste paciente era mesmo a dificuldade de se alimentar, já o fazendo abandonar alguns tipos de alimentos e o alto risco de infecção, devido ao grande acúmulo de placa bacteriana na boca. Assim, sabendo que os consultórios dentários estão sendo tomados como exemplos de cuidados de higiene para prevenção à doença e avaliando a dificuldade do paciente em se alimentar, nós optamos por realizar o tratamento, com tudo devidamente discutido e autorizado pela família.”

Uma vitória em meio a tantos casos a resolver

Paciente com tratamento concluído em 2021 – Foto: Divulgação Bianchini OdontologiaPaciente com tratamento concluído em 2021 – Foto: Divulgação Bianchini Odontologia

No tratamento feito na Bianchini Odontologia, foram colocados oito implantes dentários (quatro no arco superior e quatro no arco inferior), após a extração de todos os poucos dentes condenados que o paciente de 93 anos ainda possuía. Assim, este paciente de 93 anos hoje tem próteses definitivas superior, fixas sobre os implantes, realizadas este ano.

“Esta pandemia tem lançado desafios frequentes para nós dentistas. Muitos de nossos clientes têm chegado a nós em condições lastimáveis de saúde oral. Acredito que devemos usar o bom senso e compartilhar as decisões com os nossos pacientes e com as famílias dos mesmos, a fim de não agravarmos quadros já tão complicados”, sugere o especialista.

A pandemia parece sim estar sendo vencida, e adiar todos os procedimentos odontológicos pode ser o caminho mais rápido para encurtar a vida, já tão complicada, de pacientes que têm extremas dificuldades de controle de placa bacteriana, além de sérias limitações alimentares.

“Reabilitar estes pacientes com implantes dentários, que aumentam sobremaneira a qualidade de vida das pessoas é dever de todos os cirurgiões dentistas”, finaliza Dr. Bianchini.

“Estas são as coisas que deveis fazer: Falai a verdade cada um com o seu próximo; executai juízo de honestidade e de paz nas vossas portas. E nenhum de vós pense mal no seu coração contra o seu próximo, nem ameis o juramento falso; porque são estas coisas que eu odeio, diz o Senhor.” Zacarias 8:16,17